
Cosmetic Dentist Leamington Spa
Cosmetic Dentistry
Cosmetic dentistry describes dental techniques that are used individually or in combination to repair, whiten or replace teeth with the overall effect of improving a patient’s smile. Studies have shown that the knock-on effects of an improved smile can be several fold, including enhanced confidence in the work-place and socially.
Our cosmetic dentists in Leamington Spa are pleased to offer the following treatments:


Dental Implants:
Widely acknowledged as the best way to replace missing teeth and the modern alternative to dentures, implants are small titanium rods that are fixed into the jaw to form a solid foundation for the placement of a dental crown. Implants can be used to replace a single tooth or multiple teeth as well as forming a solid platform for retaining dentures.


Dental Crowns:
A dental crown is a protective cap or cover used to protect and strengthen a damaged tooth. A crown can also be used in conjunction with a titanium implant to completely replace a missing tooth. Modern crowns are natural looking, extremely strong and visually attractive. Latest materials also prevent the unsightly black gum line so evident in old fashioned crowns.


Bridgework:
Dental bridges are used to fill gaps left by missing teeth. The bridge normally consists of one or more replacement teeth fixed to a structure which is in turn attached to supporting teeth either side of the gap.
A recent technique called “all on 4” dental implants can be used to provide a full set of replacement teeth using four implants to support a full, fixed bridge. This specialised procedure can be used to provide a full set of new teeth in a single day.


Orthodontics – straightening crooked teeth using ‘invisible’ braces:
The prospect of wearing a brace was quite daunting up until the recent invention of clear braces/aligners. Trademarked Invisalign and Clear Step amongst others, this new style of ‘brace’ is manufactured from clear plastic material which applies gentle pressure to the teeth to move them to the desired position. Modern clear braces are much less embarrassing to wear than traditional wired braces and are also easy to remove for cleaning. Great results are possible in a relatively short space of time.


Onlays and Inlays:
An inlay is a dental restoration (like a large filling) consisting of a solid substance (typically ceramic, porcelain or gold) fitted to a prepared cavity in a tooth and cemented into place. An onlay is similar to an inlay, except that it extends to replace the upper surface of the tooth or cusp.


Veneers:
A dental veneer can be considered to be similar to a false nail but much more precise. Veneers are used to cover cracked, broken or badly stained teeth and also to correct gaps between teeth. The tooth is first prepared by shaving away a thickness equivalent to the veneer after which the veneer is fixed firmly in place using special dental cement.


Teeth Whitening:
Teeth whitening is a fast, non-invasive and very affordable way of improving the appearance of stained or dark teeth. Teeth can be made several shades lighter in a single visit to our dentist. The process is painless and involves the application of a bleaching gel and special light source to accelerate the whitening process.
Our expert cosmetic dentists can combine several of this processes to create full mouth restorations often referred to as Smile Makeovers or Hollywood Smiles – please contact our friendly team to arrange a consultation and we’ll be pleased to advise.


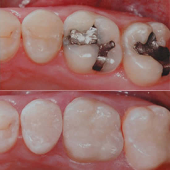
White Fillings:
With advances in modern materials and techniques we are able to use dental filling materials to restore many teeth back to their former function and aesthetics.
The modern tooth coloured composites bond into the tooth structure giving an added strength that the old fashioned silver amalgam fillings couldn’t ever do. They can be used in front teeth to match other teeth with their superior aesthetic qualities and can be used in the back teeth where strength for biting is essential.
Improvements in wear with these materials also allows them to last many years now. They are incredibly versatile and can be used in children and adults with a minimally invasive technique. Simple, straightforward, comfortable care with great aesthetic results.


Composite Bonding:
Often likened to composite veneers, composite bonding works in a very similar way – by layering a special resin material onto the surface of each tooth receiving treatment.
This resin is built up and then allowed to harden under a special light before being gently sculpted into shape and polished.
The exact colour of the resin will be matched to the rest of your teeth to ensure a natural-looking smile.
Why choose composite bonding?
Composite bonding is generally used to target a small area of the natural tooth, whereas a composite veneer will cover the entire surface.
Benefits of composite bonding include::
- It’s a non-invasive and pain-free treatment
- It’s a reversible procedure
- It can be used to fix, cover, and reshape teeth meaning numerous dental problems can be easily remedied
- Resin will be colour-matched with your existing tooth to ensure a natural, balanced and beautiful new smile